
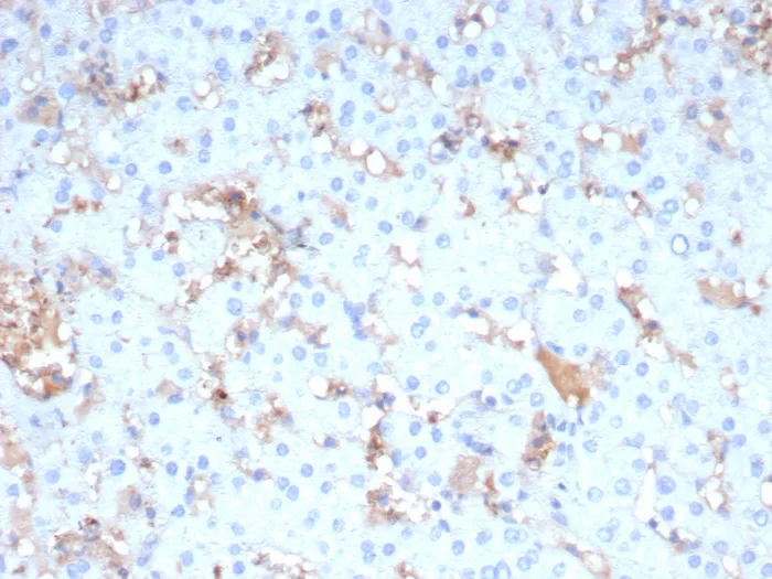
Formalin-fixed, paraffin-embedded human liver stained with Apolipoprotein A4 Mouse Monoclonal Antibody (APOA4/3654). HIER: Tris/EDTA, pH9.0, 45min. 2°C: HRP-polymer, 30min. DAB, 5min.

SDS-PAGE Analysis of Purified Apolipoprotein A4 Mouse Monoclonal Antibody (APOA4/3654). Confirmation of Purity and Integrity of Antibody.

Analysis of Protein Array containing more than 19,000 full-length human proteins using Apolipoprotein A4 Mouse Monoclonal Antibody (APOA4/3654). Z- and S- Score: The Z-score represents the strength of a signal that a monoclonal antibody (MAb) (in combination with a fluorescently-tagged anti-IgG secondary antibody) produces when binding to a particular protein on the HuProtTM array. Z-scores are described in units of standard deviations (SD's) above the mean value of all signals generated on that array. If targets on HuProtTM are arranged in descending order of the Z-score, the S-score is the difference (also in units of SD's) between the Z-score. S-score therefore represents the relative target specificity of a MAb to its intended target. A MAb is considered to specific to its intended target, if the MAb has an S-score of at least 2.5. For example, if a MAb binds to protein X with a Z-score of 43 and to protein Y with a Z-score of 14, then the S-score for the binding of that MAb to protein X is equal to 29.
Apolipoproteins are protein components of plasma lipoproteins. The human apoA-I gene encodes a single chain, 243 amino acid protein which promotes cholesterol efflux from tissues to the liver for excretion. Apolipoprotein A-I is the major protein component of high density lipoprotein (HDL) in the plasma. It can function as a cofactor for lecithin cholesterolacyltransferase (LCAT), which is responsible for the formation of most plasma cholesteryl esters. The human apoA-II gene encodes the second most abundant protein of HDL particles, where it influences plasma levels of free fatty acids (FFA). The human apoA-IV gene encodes a 396 amino acid preprotein, which after proteolytic processing is secreted from the intestine in association with chylomicron particles. ApoA-IV is a potent activator of LCAT in vitro. The human apoA-V gene encodes a 366 amino acid protein that is believed to be an important determinant of plasma triglyceride levels.
There are no reviews yet.