
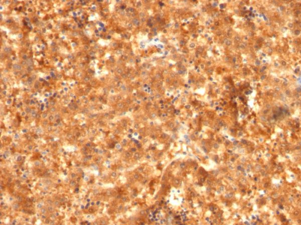
Formalin-fixed, paraffin-embedded human Fetal Liver stained with AFP Mouse Monoclonal Antibody (C2 + C3 + MBS-12).
It recognizes an oncofetal glycoprotein with a single chain of 70kDa, which is identified as alpha fetoprotein (AFP). This MAb is highly specific to AFP and shows no cross-reaction with other oncofetal antigens or serum albumin. AFP is normally synthesized in the liver, intestinal tract, and yolk sac of the fetus. Antibody to AFP has been shown to be useful in detecting hepatocellular carcinomas (HCC) and germ cell neoplasms, especially yolk sac tumors.
There are no reviews yet.