
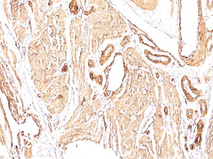
Formalin-fixed, paraffin-embedded human Leiomyosarcoma stained with Smooth Muscle Actin Mouse Monoclonal Antibody (1A4).

SDS-PAGE Analysis of Purified Smooth Muscle Actin Mouse Monoclonal Antibody (1A4). Confirmation of Integrity and Purity of Antibody.

Immunofluorescence Analysis of HeLa cells labeling Smooth Muscle Actin with Smooth Muscle Actin Mouse Monoclonal Antibody (1A4) followed by goat anti-Mouse IgG-CF488 (green). The nuclear counterstain is NucSpot (red).
Actin is a major component of the cytoskeleton and is present in most cell types. This MAb is highly specific to actin from smooth muscles. Its epitope lies in the first four N-terminal amino acids. This MAb does not stain cardiac or skeletal muscle; however, it does stain myofibroblasts and myoepithelial cells. This antibody could be used together with anti-muscle specific actin and myogenin in making a diagnosis of smooth muscle and skeletal muscle tumors. In most cases of rhabdomyosarcoma, this antibody yields negative results whereas anti-muscle specific actin and myogenin are positive. Leiomyosarcomas are positive only with anti-muscle specific actin and anti-smooth muscle actin and are negative with anti-myogenin.
There are no reviews yet.