
Formalin-fixed, paraffin-embedded human Melanoma stained with Topo I, MT Mouse Monoclonal Antibody (TOP1MT/613).

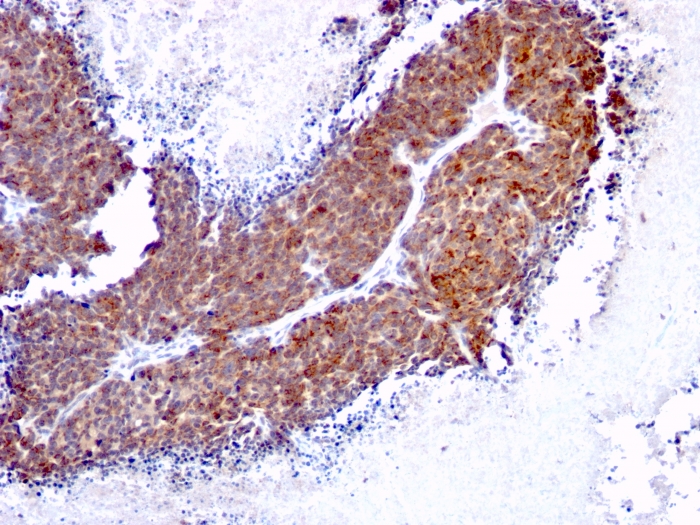
Formalin-fixed, paraffin-embedded human Gallbladder stained with Topo I, MT Mouse Monoclonal Antibody (TOP1MT/613).
DNA topoisomerases are nuclear enzymes that regulate the topological structure of DNA in eukaryotic cells by transiently breaking and rejoining DNA strands. Due to their roles in DNA replication, recombination, and transcription, DNA topoisomerases have been identified as targets of numerous anticancer drugs. Mitochondrial Topo I (DNA topoisomerase I, mitochondrial) is a 601 amino acid protein that primarily acts to relieve DNA strain that may occur during duplication of mitochondrial DNA. As a type IB topoisomerase, mitochondrial Topo I requires a divalent metal, either, calcium or magnesium, as well as an alkaline pH for optimal activity.
There are no reviews yet.