
SDS-PAGE Analysis of Purified RBP4 Mouse Monoclonal Antibody (RBP4/4046). Confirmation of Purity and Integrity of Antibody.

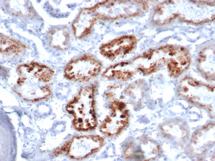
Formalin-fixed, paraffin-embedded human kidney stained with RBP4 Mouse Monoclonal Antibody (RBP4/4046). HIER: Tris/EDTA, pH9.0, 45min. 2°C: HRP-polymer, 30min. DAB, 5min.

Analysis of Protein Array containing more than 19,000 full-length human proteins using RBP4 Mouse Monoclonal Antibody (RBP4/4046). Z- and S- Score: The Z-score represents the strength of a signal that a monoclonal antibody (MAb) (in combination with a fluorescently-tagged anti-IgG secondary antibody) produces when binding to a particular protein on the HuProtTM array. Z-scores are described in units of standard deviations (SD's) above the mean value of all signals generated on that array. If targets on HuProtTM are arranged in descending order of the Z-score, the S-score is the difference (also in units of SD's) between the Z-score. S-score therefore represents the relative target specificity of a MAb to its intended target. A MAb is considered to specific to its intended target, if the MAb has an S-score of at least 2.5. For example, if a MAb binds to protein X with a Z-score of 43 and to protein Y with a Z-score of 14, then the S-score for the binding of that MAb to protein X is equal to 29.
Retinol (Vitamin A) is transported in the blood bound to its carrier protein, retinol-binding protein (RBP), also designated plasma retinol-binding protein (PRBP) or RBP4. A member of the lipocalin family, RBP conveys retinol from stores in the liver to peripheral tissues. In plasma, RBP binds transthyretin (TTR, formerly called prealbumin) to prevent glomerular filtration of low molecular weight RBP in the kidneys. The stability of this complex holds diagnostic importance because the molar ratio of RBP:TTR provides an indirect way to indicate marginal Vitamin A deficiency. Vitamin A deficiency blocks the secretion of RBP, resulting in defective delivery and supply to epidermal cells. Originally identified solely as a transporter protein, recent studies correlating increased levels of RBP expression in adipose tissue with Insulin resistance have generated research into the possible roles the protein may play in the pathogenesis of type 2 diabetes and obesity.
There are no reviews yet.