Recombinant Prostate Specific Acid Phosphatase (PSAP) Antibody [ACPP/4495R]

In Stock
Catalog Number Formulation Size Price
55-RBM5-P0
Purified Ab with BSA and Azide at 200ug/ml
20ug
$259.00
55-RBM5-P1
Purified Ab with BSA and Azide at 200ug/ml
100ug
$559.00
55-RBM5-P1ABX
Purified Ab WITHOUT BSA and Azide at 1.0mg/ml
100ug
$559.00
Flat Rate Domestic: $95 | Orders outside the US - Contact Us for Order Information | Ships next business day

Applications & Dilutions

Applications Tested Dillution Protocol Note
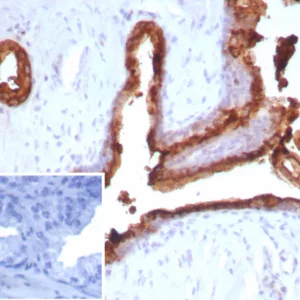
Immunohistochemistry (IHC)
1-2ug/ml
30 min at RT. Staining of formalin-fixed tissues requires heating tissue sections in 10mM Tris with 1mM EDTA, pH 9.0, for 45 min at 95°C followed by cooling at RT for 20 minutes

Summary

Prostatic Acid Phosphatase (PSAP or PAP) is a member of the histidine acid phosphatase family. It is a non-specific phosphatase that is capable of dephosphorylating tyrosine residues as well as phospholipids under mildly acidic conditions. Prostatic specific acid phosphatase (PSAP) is involved in prostate epithelial differentiation. It is highly expressed in prostate, primary and metastatic carcinoma of the prostate. This marker may be helpful in pinpointing the site of origin in cases of metastatic carcinoma of the prostate, and is considered a more sensitive marker than PSA.

Product Properties & Targets

Host
Rabbit
Applications
Species Reactivity
Research Areas
Isotype / Light Chain
IgG / Kappa
Cellular Localization
Cytoplasm.
Gene Name
Positive Control
PC12 cells. Normal prostate or prostate carcinoma tissue.
Immunogen
Recombinant fragment (around aa1-100) of human ACPP (exact sequence is proprietary)
Alternate Names
Prostatic acid phosphatase | PAPf39, 5'-nucleotidase, Acid phosphatase 3, Ecto-5'-nucleotidase, Protein tyrosine phosphatase ACP3, Thiamine monophosphatase, 5'-nucleotidase (5'-NT); Acid phosphatase prostate; ACP3; Ecto-5'-nucleotidase; Prostatic acid phosphatase (PAP); Prostatic acid phosphatase; Thiamine monophosphatase (TMPase)

Database Links

Entrez Gene ID
55
SwissProt

Additional Information

Clone
ACPP/4495R
Chromosome Location
3q22.1
Mol. Weight of Antigen
45kDa

Functions

  • A non-specific tyrosine phosphatase that dephosphorylates a diverse number of substrates under acidic conditions (pH 4-6) including alkyl, aryl, and acyl orthophosphate monoesters and phosphorylated proteins (PubMed:10506173, PubMed:15280042, PubMed:20498373, PubMed:9584846). Has lipid phosphatase activity and inactivates lysophosphatidic acid in seminal plasma (PubMed:10506173, PubMed:15280042).
  • Tyrosine phosphatase that acts as a tumor suppressor of prostate cancer through dephosphorylation of ERBB2 and deactivation of MAPK-mediated signaling (PubMed:20498373). In addition to its tyrosine phosphatase activity has ecto-5'-nucleotidase activity in dorsal root ganglion (DRG) neurons. Generates adenosine from AMP which acts as a pain suppressor (By similarity).
  • (Microbial infection) Forms amyloid beta-sheet fibrils in semen. These fibrils, termed SEVI (semen-derived enhancer of viral infection) capture HIV virions, attach them to target cells and enhance infection (PubMed:18083097, PubMed:19451623, PubMed:19897482). SEVI amyloid fibrils are degraded by polyphenol epigallocatechin-3-gallate (EGCG), a constituent of green tea (PubMed:19451623). Target cell attachment and enhancement of HIV infection is inhibited by surfen (PubMed:19897482). Also similarly boosts XMRV (xenotropic murine leukemia virus-related virus) infection (PubMed:19403677).

Key References

  • Genega EM, et al. Mod Pathol. 2000 Nov;13(11):1186-91.
  • Street, S.E, et al. (2013) J Neurosci 33, 11314-22.

Storage & Stability

Antibody with azide - store at 2 to 8°C. Antibody without azide - store at -20 to -80°C. Antibody is stable for 24 months. Non-hazardous. No MSDS required.

Limitations

This antibody is available for research use only and is not approved for use in diagnosis.

Supplied as

200ug/ml of Ab purified from Bioreactor Concentrate by Protein A/G. Prepared in 10mM PBS with 0.05% BSA & 0.05% azide. Also available WITHOUT BSA & azide at 1.0mg/ml.

Warranty

There are no warranties, expressed or implied, which extend beyond this description. Company is not liable for any personal injury or economic loss resulting from this product.

Reviews

There are no reviews yet.

Be the first to review “Recombinant Prostate Specific Acid Phosphatase (PSAP) Antibody”

Your email address will not be published. Required fields are marked *

PARTNERSHIP OPPORTUNITIES

NeoBiotechnologies holds Exclusive rights to 10,000 recombinant and hybridoma antibody products, available for Licensing or Collaboration.

LETS TALK