
Flow Cytometric Analysis of PFA-fixed HeLa cells. NR5A2 Mouse Monoclonal Antibody (PCRP-NR5A2-1B8) followed by goat anti-mouse IgG-CF488 (blue); unstained cells (red).

SDS-PAGE Analysis. Purified NR5A2 Mouse Monoclonal Antibody (PCRP-NR5A2-1B8). Confirmation of Integrity and Purity of Antibody.

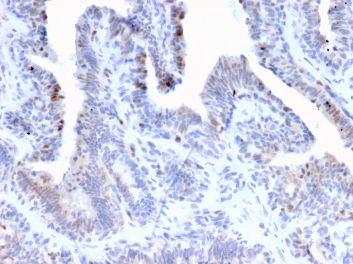
Formalin-fixed, paraffin-embedded human prostate cancer stained with NR5A2 Mouse Monoclonal Antibody (PCRP-NR5A2-1B8). HIER: Tris/EDTA, pH9.0, 45min. 2°C: HRP-polymer, 30min. DAB, 5min.

Analysis of Protein Array containing more than 19,000 full-length human proteins using NR5A2 Mouse Monoclonal Antibody (PCRP-NR5A2-1B8). Z- and S- Score: The Z-score represents the strength of a signal that a monoclonal antibody (MAb) (in combination with a fluorescently-tagged anti-IgG secondary antibody) produces when binding to a particular protein on the HuProtTM array. Z-scores are described in units of standard deviations (SD's) above the mean value of all signals generated on that array. If targets on HuProtTM are arranged in descending order of the Z-score, the S-score is the difference (also in units of SD's) between the Z-score. S-score therefore represents the relative target specificity of a MAb to its intended target. A MAb is considered to specific to its intended target, if the MAb has an S-score of at least 2.5. For example, if a MAb binds to protein X with a Z-score of 43 and to protein Y with a Z-score of 14, then the S-score for the binding of that MAb to protein X is equal to 29.
NR5A2 (nuclear receptor subfamily 5, group A, member 2), also designated B1-binding factor (B1F or B1F2), CYP7A promoter-binding factor (CPF), fetoprotein-a 1 (AFP) transcription factor (FTF, FTZ-F1 or FTZ-F1b) and liver receptor homolog 1 (LRH-1), is a pre-adipocyte-specific nuclear receptor that regulates expression of aromatase in adipose tissue. NR5A2 belongs to the fushi tarazu factor-1 subfamily of orphan nuclear receptors. NR5A2 transcripts are abundant in the human ovary and testis and are predominantly expressed in tissues of endodermal origin. NR5A2 is a positive transcription factor for ABCG5 and ABCG8 and regulates genes involved in sterol and bile acid secretion from liver and intestine. It induces cell proliferation through the concomitant induction of cyclin D1 and E1, an effect that is potentiated by its interaction with b-catenin.
There are no reviews yet.