
Formalin-fixed, paraffin-embedded human small intestine stained with MSH6 Mouse Monoclonal Antibody (MSH6/3086).

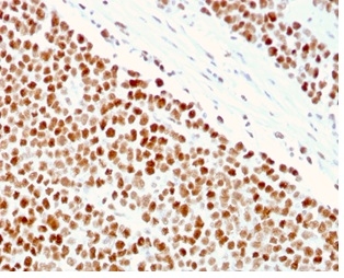
Formalin-fixed, paraffin-embedded human colon carcinoma stained with MSH6 Mouse Monoclonal Antibody (MSH6/3086).

Immunofluorescence staining of PFA-fixed MCF-7 cells with MSH6 Mouse Monoclonal Antibody (MSH6/3086) followed by goat anti-mouse IgG-CF488 (green). Nuclei labeled with reddot.

Flow Cytometric Analysis of PFA-fixed MCF-7 cells using MSH6 Mouse Monoclonal Antibody (MSH6/3086) followed by goat anti-mouse IgG-CF488 (blue); isotype control (red).

SDS-PAGE Analysis Purified MSH6 Mouse Monoclonal Antibody (MSH6/3086). Confirmation of Purity and Integrity of Antibody.

Analysis of Protein Array containing >19,000 full-length human proteins using MSH6 Mouse Monoclonal Antibody (MSH6/3086) Z- and S- Score: The Z-score represents the strength of a signal that a monoclonal antibody (MAb) (in combination with a fluorescently-tagged anti-IgG secondary antibody) produces when binding to a particular protein on the HuProtTM array. Z-scores are described in units of standard deviations (SD's) above the mean value of all signals generated on that array. If targets on HuProtTM are arranged in descending order of the Z-score, the S-score is the difference (also in units of SD's) between the Z-score. S-score therefore represents the relative target specificity of a MAb to its intended target. A MAb is considered to specific to its intended target, if the MAb has an S-score of at least 2.5. For example, if a MAb binds to protein X with a Z-score of 43 and to protein Y with a Z-score of 14, then the S-score for the binding of that MAb to protein X is equal to 29.
The finding that mutations in DNA mismatch repair genes are associated with hereditary nonpolyposis colorectal cancer (HNPCC) has resulted in considerable interest in the understanding of the mechanism of DNA mismatch repair. Initially, inherited mutations in the MSH2 and MLH1 homologs of the bacterial DNA mismatch repair genes mutS and mutL were demonstrated at high frequency in HNPCC and were shown to be associated with microsatellite instability. A member of the mismatch repair family, GTBP (also designated MSH6), is an MSH2-related protein that binds to DNA containing G/T mismatches. Findings suggest that the mismatch-binding factor in human cells is composed of a heterodimer of GTBP and MSH2.
There are no reviews yet.