
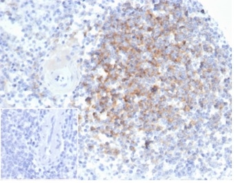
Formalin-fixed, paraffin-embedded human spleen stained with Interferon alpha 1 Mouse Monoclonal Antibody (IFNA/6689) at 2ug/ml. Inset: PBS instead of primary antibody; secondary only negative control
This MAb is specific for human interferon alpha 1 and does not cross react with human interferon alpha 2. Interferons are widely used therapeutic agents because of their anti-tumor and anti-viral effects and because of their modulatory effects on the immune system. These cytokines produce their effects by binding to the Type 1 Interferon- & Receptor (IFNAR1). Down regulation of this receptor plays a key role in determining the magnitude and duration of cytokine signaling. This down regulation is influenced by phosphorylation of Serine 535 and 539 in the IFNAR1.Produced by macrophages, IFN-alphas have antiviral activities. Interferon stimulates the production of two enzymes: a protein kinase and an oligoadenylate synthetase
There are no reviews yet.