
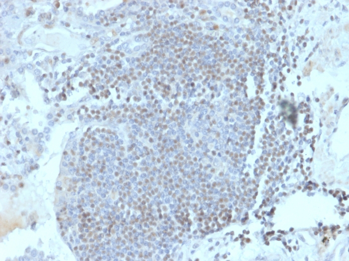
Formalin-fixed, paraffin-embedded human lymph node stained with HOMEZ Mouse Monoclonal Antibody (PCRP-HOMEZ-1A5).

Flow cytometric analysis of PFA-fixed HeLa cells. HOMEZ Mouse Monoclonal Antibody (PCRP-HOMEZ-1A5) followed by goat anti-mouse IgG-CF488 (blue), isotype control (red).

SDS-PAGE Analysis of Purified HOMEZ Mouse Monoclonal Antibody (PCRP-HOMEZ-1A5). Confirmation of Purity and Integrity of Antibody.

Analysis of Protein Array containing more than 19,000 full-length human proteins using EIF2S1 Mouse Monoclonal Antibody (PCRP-HOMEZ-1A5). Z- and S- Score: The Z-score represents the strength of a signal that a monoclonal antibody (MAb) (in combination with a fluorescently-tagged anti-IgG secondary antibody) produces when binding to a particular protein on the HuProtTM array. Z-scores are described in units of standard deviations (SD's) above the mean value of all signals generated on that array. If targets on HuProtTM are arranged in descending order of the Z-score, the S-score is the difference (also in units of SD's) between the Z-score. S-score therefore represents the relative target specificity of a MAb to its intended target. A MAb is considered to specific to its intended target, if the MAb has an S-score of at least 2.5. For example, if a MAb binds to protein X with a Z-score of 43 and to protein Y with a Z-score of 14, then the S-score for the binding of that MAb to protein X is equal to 29.
Homeodomain-containing proteins function as transcription factors that typically switch on cascades of other genes. Usually homeodomain proteins act in the promoter region of their target genes as complexes with other transcription factors, leading to much higher target specificity than a single homeodomain protein. HOMEZ (Homeobox and leucine zipper protein) is a 525 amino acid nuclear protein that contains 3 atypical homeodomains, 2 leucine zipper-like motifs, proline and serine-rich motifs and an acidic domain. Within homeodomain 2, it contains a putative nuclear localization signal. HOMEZ shares significant sequence similarity with mouse ZHX1 and sequences that are homologous to HOMEZ are restricted to vertebrates. Likely functioning as a transcription regulator, HOMEZ is ubiquitously expressed with highest levels found in in ovary, testis, kidney, fetal lung and kidney.
There are no reviews yet.