Endoglin / CD105 (Angiogenesis Marker) Antibody [ENG/4750]

In Stock
Catalog Number Formulation Size Price
2022-MSM10-P0
Purified Ab with BSA and Azide at 200ug/ml
20ug
$259.00
2022-MSM10-P1
Purified Ab with BSA and Azide at 200ug/ml
100ug
$559.00
2022-MSM10-P1ABX
Purified Ab WITHOUT BSA at 1.0mg/ml
100ug
$559.00
Flat Rate Domestic: $95 | Orders outside the US - Contact Us for Order Information | Ships next business day

Applications & Dilutions

Applications Tested Dillution Protocol Note
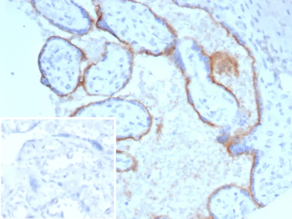
Immunohistochemistry (IHC)
1-2ug/ml
30 min at RT. Staining of formalin-fixed tissues requires heating tissue sections in 10mM Tris with 1mM EDTA, pH 9.0, for 45 min at 95°C followed by cooling at RT for 20 minutes

Summary

CD105/Endoglin is a Type I membrane glycoprotein located on cell surfaces and is part of the TGF-beta receptor complex. This protein has been found on endothelial cells, activated macrophages, fibroblasts, and smooth-muscle cells. Endoglin has a role in the development of the cardiovascular system and in vascular remodeling. Its expression is regulated during heart development. CD105 is highly expressed in endothelial cells during tumor angiogenesis and inflammation, with weak or negative expression in vascular endothelium of normal tissues. Angiogenesis is a promising prognostic marker in a variety of tumors. Endoglin is a more specific and sensitive marker for tumor angiogenesis than CD31 or CD34, as it labels only newly-formed blood vessels and may serve as a prognostic marker for Prostate Adenocarcinoma, and cancers of the lung, stomach, breast, and brain.

Product Properties & Targets

Antibody Type
Host
Mouse
Applications
Species Reactivity
Isotype / Light Chain
IgG1 / Kappa
Cellular Localization
Cell surface.
Gene Name
ENG
Positive Control
A431 or HL-60 cells.|HeLa
Immunogen
Recombinant extracellular fragment of human Endoglin protein (exact sequence is proprietary)
Alternate Names
Endoglin, CD105; END; Endoglin; Eng; HHT1; S-endoglin

Database Links

Entrez Gene ID
SwissProt

Additional Information

Clone
ENG/4750
Chromosome Location
9q34.11
Mol. Weight of Antigen
80kDa (Monomer); 160kDa (Homodimer)

Functions

  • Vascular endothelium glycoprotein that plays an important role in the regulation of angiogenesis (PubMed:21737454, PubMed:23300529). Required for normal structure and integrity of adult vasculature (PubMed:7894484). Regulates the migration of vascular endothelial cells (PubMed:17540773). Required for normal extraembryonic angiogenesis and for embryonic heart development (By similarity). May regulate endothelial cell shape changes in response to blood flow, which drive vascular remodeling and establishment of normal vascular morphology during angiogenesis (By similarity). May play a critical role in the binding of endothelial cells to integrins and/or other RGD receptors (PubMed:1692830). Acts as TGF-beta coreceptor and is involved in the TGF-beta/BMP signaling cascade that ultimately leads to the activation of SMAD transcription factors (PubMed:8370410, PubMed:21737454, PubMed:22347366, PubMed:23300529). Required for GDF2/BMP9 signaling through SMAD1 in endothelial cells and modulates TGFB1 signaling through SMAD3 (PubMed:21737454, PubMed:22347366, PubMed:23300529).

Key References

  • Altomonte, M., et al. 1996. Expression and structural features of Endoglin (CD105), a transforming growth factor β1 and β3 binding protein, in human melanoma. Br. J. Cancer 74: 1586-1591.

Storage & Stability

Antibody with azide - store at 2 to 8°C. Antibody without azide - store at -20 to -80°C.Antibody is stable for 24 months. Non-hazardous. No MSDS required.

Limitations

This antibody is available for research use only and is not approved for use in diagnosis.

Supplied as

200ug/ml of Ab purified from Bioreactor Concentrate by Protein A/G. Prepared in 10mM PBS with 0.05% BSA & 0.05% azide. Also available WITHOUT BSA & azide at 1.0mg/ml.

Warranty

There are no warranties, expressed or implied, which extend beyond this description. Company is not liable for any personal injury or economic loss resulting from this product.

Reviews

There are no reviews yet.

Be the first to review “Endoglin / CD105 (Angiogenesis Marker) Antibody”

Your email address will not be published. Required fields are marked *

PARTNERSHIP OPPORTUNITIES

NeoBiotechnologies holds Exclusive rights to 10,000 recombinant and hybridoma antibody products, available for Licensing or Collaboration.

LETS TALK