
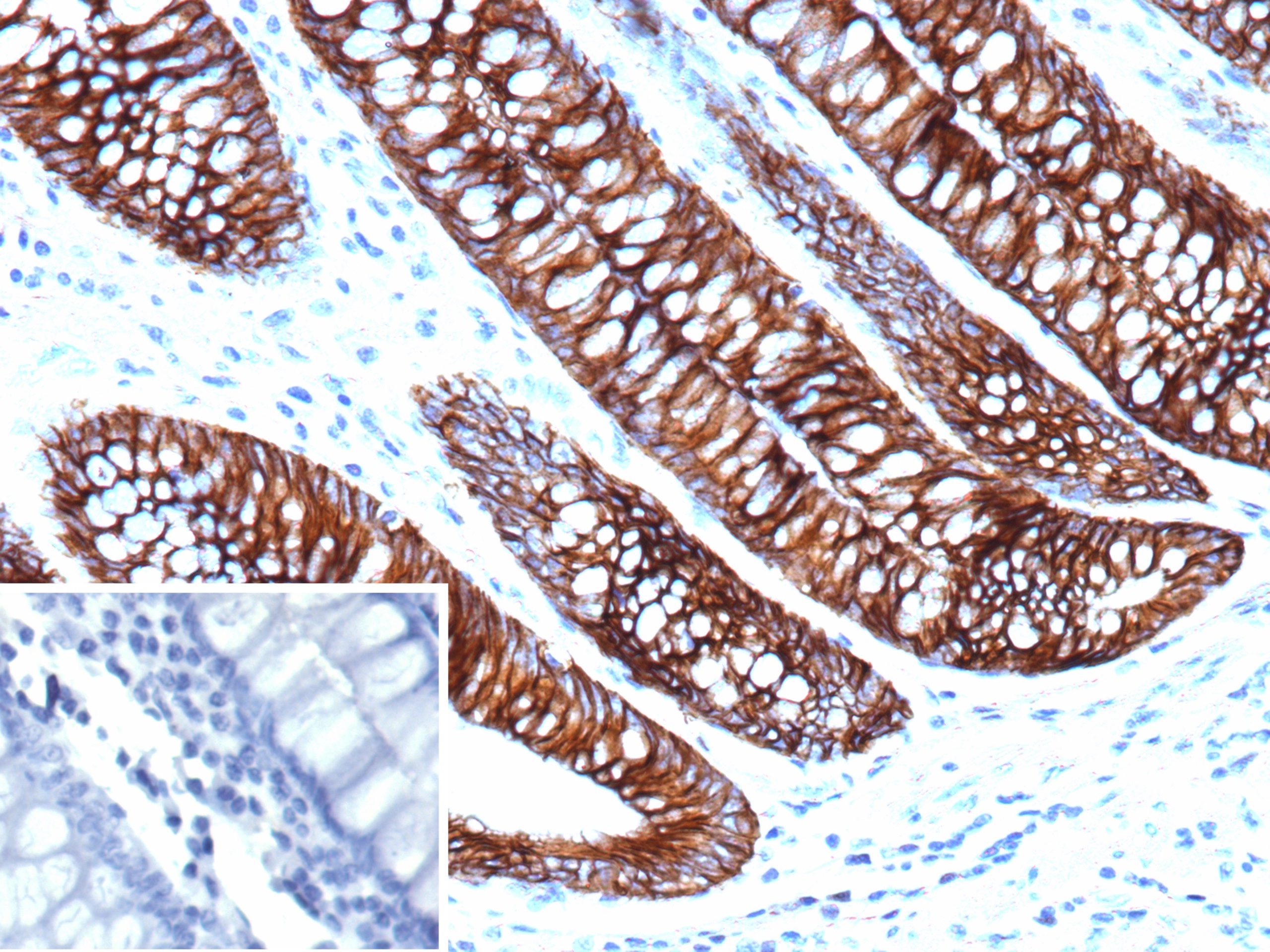
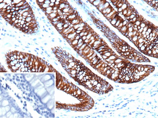
Formalin-fixed, paraffin-embedded human colon stained with Cadherin 17 Mouse Monoclonal Antibody (CDH17/2612). Inset: PBS instead of primary antibody; secondary only negative control.
It recognizes a protein of 120kDa, which is identified as Cadherin 17 (also known as LI Cadherin). The cadherins are a family of Calcium-dependent adhesion molecules that function to mediate cell-cell binding critical to the maintenance of tissue structure and morphogenesis. Cadherins each contain a large extracellular domain at the amino terminus, which is characterized by a series of five homologous repeats, the most distal of which is thought to be responsible for binding specificity. The relatively short carboxy terminal, intracellular domain interacts with a variety of cytoplasmic proteins, including beta-catenin, to regulate cadherin function. LI-cadherin (for liver-intestine-cadherin) expression is restricted to liver and intestine tissues and is specifically localized to the basolateral domain of hepatocytes and enterocytes.
There are no reviews yet.