CXCR5 Antibodies

Synonyms

C-X-C chemokine receptor type 5, Burkitt lymphoma receptor 1, Monocyte-derived receptor 15, BLR1; Burkitt lymphoma receptor 1, GTP binding protein (chemokine (C-X-C motif) receptor 5); CD185 antigen; Chemokine receptor 5; CXC chemokine receptor type 5; MDR 15; MDR15; MGC117347; Monocyte derived receptor 15

Research Areas

Cardiovascular, AKT Signaling, B Cell Markers, Signal Transduction

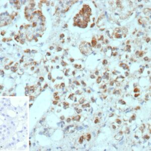
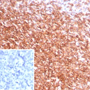
CXCR5

PARTNERSHIP OPPORTUNITIES

NeoBiotechnologies holds Exclusive rights to 10,000 recombinant and hybridoma antibody products, available for Licensing or Collaboration.

LETS TALK