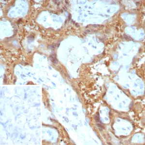
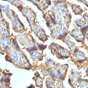
LGALS13 Antibodies

Synonyms

Galactoside-binding soluble lectin 13, Galectin-13, Placental tissue protein 13, Gal-13; GAL13; Galactoside-binding soluble lectin 13; Galectin-13; Galectin13; Lectin galactoside binding soluble 13; LGALS13; PLAC8; Placental protein 13 (PP13); Placental tissue protein 13

Research Areas

Cardiovascular, Nuclear Marker

LGALS13

PARTNERSHIP OPPORTUNITIES

NeoBiotechnologies holds Exclusive rights to 10,000 recombinant and hybridoma antibody products, available for Licensing or Collaboration.

LETS TALK