KRT17 Antibodies

Cytokeratin 17 (CK17), encoded by the KRT17 gene on chromosome 17q21.2, is a type I intermediate filament protein. It consists of 432 amino acids and has a molecular weight of approximately 48 kDa. CK17 undergoes various post-translational modifications, including phosphorylation, glycosylation, and the formation of disulfide bonds, which can modulate its stability, localization, and function within cells. CK17 is primarily an intracellular protein, serving as a structural component of the cytoskeleton. This protein contributes to the structural integrity of these tissues, providing strength and resilience to withstand mechanical stress. CK17 is prominently expressed in various tissues, including the skin, hair follicles, nails, and sweat glands. Various factors, including developmental signals, hormonal influences, and tissue-specific transcription factors, regulate the expression of CK17. Its expression is tightly controlled to ensure proper tissue homeostasis and function. 

Aberrant CK17 expression has been observed in certain pathological conditions, including wound healing, psoriasis, and skin tumors, where it may play a role in tissue repair and regeneration. Dysregulation of CK17 expression or mutations in the KRT17 gene have been associated with certain skin disorders, such as pachyonychia congenita, a rare genetic condition characterized by thickened nails and palmoplantar keratoderma.

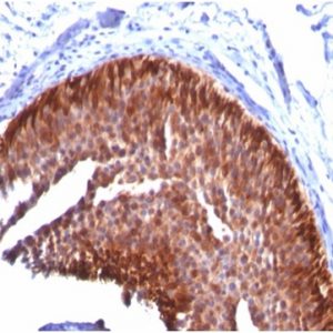
As a basal epithelial marker, CK17 expression has been shown to have diagnostic and prognostic value in certain cancers and diseases, particularly in the context of skin tumors. In dermatopathology, CK17 immunohistochemistry is commonly used as a diagnostic marker for distinguishing between different types of skin tumors and aiding in their classification. Moreover, CK17 expression is often observed in various squamous cell carcinomas (SCCs), including cutaneous SCCs and vulvar SCCs. Its expression in these tumors has been associated with more aggressive behavior, higher tumor grade, and increased risk of recurrence or metastasis.

NeoBiotechnologies offers a variety of antibodies against CK17 that have been validated for flow cytometry, immunofluorescence, immunohistochemistry, and Western blotting. Additionally, we hold exclusive rights to CK17 antibodies available for licensing or collaboration [https://www.neobiotechnologies.com/shop/?s=KRT17].

Synonyms

Keratin, type I cytoskeletal 17, 39.1, Cytokeratin-17, Keratin-17, K17; Keratin Type I Cytoskeletal 17; Keratin-17; KRT17; PCHC1

Research Areas

Developmental Biology, Basal Cell Marker

KRT17

PARTNERSHIP OPPORTUNITIES

NeoBiotechnologies holds Exclusive rights to 10,000 recombinant and hybridoma antibody products, available for Licensing or Collaboration.

LETS TALK