
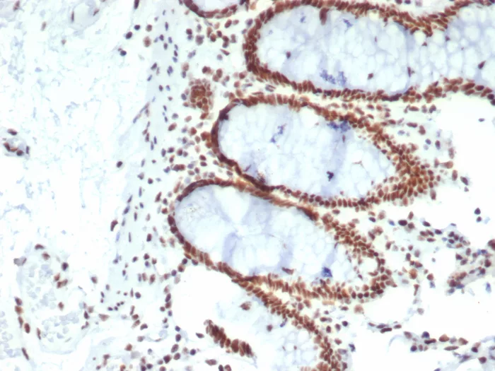
Formalin-fixed, paraffin-embedded human colon carcinoma stained with CDC5L Mouse Monoclonal Antibody (PCRP-CDC5L-2C6). HIER: Tris/EDTA, pH9.0, 45min. 2°C: HRP-polymer, 30min. DAB, 5min.

Flow Cytometric Analysis of HeLa cells using CDC5L Mouse Monoclonal Antibody (PCRP-CDC5L-2C6) followed by goat anti-mouse IgG-CF488 (blue); isotype control (red).

Analysis of Protein Array containing more than 19,000 full-length human proteins using CDC5L Mouse Monoclonal Antibody (PCRP-CDC5L-2C6) Z- and S- Score: The Z-score represents the strength of a signal that a monoclonal antibody (MAb) (in combination with a fluorescently-tagged anti-IgG secondary antibody) produces when binding to a particular protein on the HuProtTM array. Z-scores are described in units of standard deviations (SD's) above the mean value of all signals generated on that array. If targets on HuProtTM are arranged in descending order of the Z-score, the S-score is the difference (also in units of SD's) between the Z-score. S-score therefore represents the relative target specificity of a MAb to its intended target. A MAb is considered to specific to its intended target, if the MAb has an S-score of at least 2.5. For example, if a MAb binds to protein X with a Z-score of 43 and to protein Y with a Z-score of 14, then the S-score for the binding of that MAb to protein X is equal to 29.
Cdc5L (cell division cycle 5-like protein, pombe Cdc5-related protein) is a DNA-binding protein encoded by the human gene CDC5L. Cdc5L contains two HTH Myb-type DNA-binding domains and may shuttle between cytoplasm and nucleus. It is involved in cell cycle control and may act as a transcription activator. Cdc5L is a spliceosomal protein that is highly conserved across species. It belongs to the group of proteins that comprise the core of spliceosomal complexes and are essential for pre-mRNA splicing. Cdc5L is involved in the second catalytic step of pre-mRNA splicing, which involves cleavage at the 3' splice site and the ligation of the exons. This process releases the intact intron lariat. A chromosomal aberration involving Cdc5L is found in multicystic renal dysplasia. This aberration is caused by a translocation (t 6;19,p21;q13.1) with USF-2.
There are no reviews yet.